13 Most Bizarre Things Found Inside People’s Bodies

8. Brain Worm

buzz lightyear x ray
Wikipedia

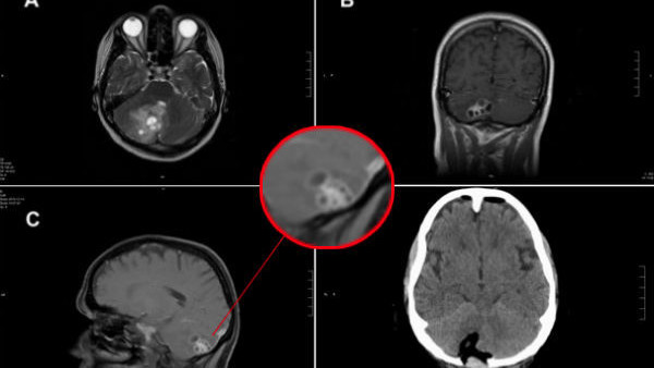
Rosemary Alverez was only 37 when she received the devastating news that doctors had found a tricky and dangerous tumour in her brain.

Her condition quickly began to deteriorate and she lost the ability to swallow and balance as her extremities went numb. She was rushed into hospital for an operation.

It was during this operation that the doctor found something that would make a brave man whimper. Instead of finding a dangerous tumour in Rosemary's brain, he found a friendly tapeworm that had nestled into her cranium. Props have to go to the brave surgeon for not passing out on the spot and managing to remove the interloper.

On the bright side, at least it wasn't a life-threatening tumour.

Incidentally, as well as a worm being found in a human brain, a human-like brain has been found in a worm. A type of Ragworm has been found to possess a brain structure much like the advanced cerebral cortex of a human. This has nothing to do with objects being found in people's bodies, just a bit of general interest.

Also, we would recommend that you don't Google "brain tapeworm" unless you have a strong stomach.

 
Posted On: 
Contributor
Contributor

Writer. Raconteur. Gardeners' World Enthusiast.